当前位置:肿瘤瞭望>资讯>正文

病例优赏丨一例广泛期小细胞肺癌患者一线应用斯鲁利单抗联合EC方案治疗经验分享

作者:肿瘤瞭望   日期:2022/12/20 12:07:45  浏览量:10442

肿瘤瞭望版权所有,谢绝任何形式转载,侵犯版权者必予法律追究。

肺癌是肿瘤相关死亡率最高的恶性肿瘤。小细胞肺癌(SCLC)源自伴有神经内分泌分化的上皮细胞,是肺癌中侵袭性最强的一种亚型。

▌病例作者:汕头大学医学院附属肿瘤医院林丹霞
▌点评专家:汕头大学医学院附属肿瘤医院李东升
 
摘要:肺癌是肿瘤相关死亡率最高的恶性肿瘤[1]。小细胞肺癌(SCLC)源自伴有神经内分泌分化的上皮细胞,是肺癌中侵袭性最强的一种亚型。此类肿瘤恶性程度高、倍增时间短、易发生远处转移,初次就诊时即有约2/3患者被诊断为广泛期。SCLC约占所有肺癌患者的15-20%,与吸烟密切相关。广泛期小细胞肺癌(Extensive-Stage SCLC,ES-SCLC)患者的有效治疗方案有限,既往三十年间,一线标准治疗方案为含铂药物化疗,有效率高达60-80%,但患者往往短期内出现复发及耐药,中位生存期仅有10个月左右,5年总生存率不足5%[2]。近几年来,随着PD-1和PD-L1等多种免疫检查点抑制剂(Immune Checkpoint Inhibitors,ICIs)相继应用于临床,ES-SCLC的治疗模式发生了改变,免疫联合化疗成为ES-SCLC患者标准一线治疗选择[3,4]。斯鲁利单抗作为上海复宏汉霖首款自主研发的创新生物药PD-1抑制剂,其疗效在多个瘤种中得到验证。本文通过分享一例一线使用斯鲁利单抗联合化疗药物治疗的ES-SCLC病例,探讨ES-SCLC患者治疗的优化选择。
 
病例作者
林丹霞
汕头大学医学院附属肿瘤医院肿瘤内科
副主任医师、硕士生导师
从事肿瘤内科临床、基础研究及教学工作20余年
广东省健康管理学会肿瘤防治专业委员会常委
广东省医学教育协会肿瘤学专业委员会委员
广东省医师协会分会委员会委员
广东省抗癌协会委员
汕头市抗癌协会委员会常委
病例介绍
 
一般情况:男性,63岁。
 
主诉:咳嗽咳痰1月余,加重伴胸痛、咯血1周。
 
首诊日期:2022-06-16
 
既往史:12年前因左下肢粉碎性骨折行手术治疗,具体术式不详。
 
个人史:吸烟史40余年,约3包/天,未戒烟。
 
家族史:否认肿瘤家族史,否认遗传病史。
 
查体:ECOG PS 1分,左锁骨上扪及一短径约2.0cm淋巴结,质韧,活动度差,无压痛,与皮肤无粘连,浅表淋巴结未扪及肿大。左中下肺叩诊呈实音,余肺叩诊呈清音。左中下肺呼吸音消失,余肺呼吸音稍粗,双肺未闻及明显干湿性啰音。
 
▌辅助检查
 
肿瘤标志物:NSE 83.58ng/mL,ProGRP 4493 pg/mL。
 
影像学检查:
 
2022年6月17日颈部、胸部、腹部盆腔平扫及增强CT示:1.左肺门占位(8.4cm×6.2cm),考虑左侧中央型肺癌并左上肺阻塞性炎症及肺不张,左下颈、左锁骨上、纵隔多发淋巴结肿大,大者约3.1×2.7cm,左胸腔少量积液。2.腹膜后多发小淋巴结。3.前列腺钙化。
 
颅脑MRI:未见异常。
 
肿瘤病理:
 
2022年6月17日行左锁骨上区淋巴结B超引导下穿刺活检术,病理示:(左锁骨上淋巴结穿刺活检)差分化癌,须待免疫组化协诊。
 
肿瘤分子病理:
 
免疫组化结果:CK(+)、CK18(+)、SYN(+)、CD56(+)、CgA(+)、NUT1(-)、SMACAR4(+)、INI1(+)、TTF1(+)、P40(-)、LCA(-)、S100(-)。
 
病理诊断结果:结合HE形态,支持为(左锁骨淋巴结穿刺活检)小细胞癌。
 
▌诊断
 
1.左肺小细胞癌(T4N3M1a),广泛期;左上肺阻塞性肺炎;多发淋巴结(左下颈、左锁骨上、纵隔)及左胸膜转移,左侧胸腔积液(少量)
 
2.高血压1级
 
▌治疗经过
 
一线治疗:
 
2022-06-17入院后予抗感染、止咳化痰、解痉平喘、止血等治疗。
 
2022-06-24至2022-09-02行第1-4周期免疫治疗联合化疗,具体为:斯鲁利单抗300mg d1+依托泊苷180mg d1-3+卡铂550mg d1。
 
2022-09-27至2022-12-03行4周期“斯鲁利单抗300mg”免疫维持治疗。
 
▌疗效评估
 
症状评估:
 
1周期后所有症状缓解
 
肿瘤标志物:
 
图1.肿瘤标志物变化情况
 
影像学检查:
 
2022-08-08(2周期后)复查,颈部、胸部、腹部盆腔平扫及增强CT示:1.左侧中央型肺癌(肺门肿块基本消失)并左上肺阻塞性炎症及肺不张,左下颈、左锁骨上、纵隔多发淋巴结肿大治疗后,大者约0.8cm,均较前明显缩小。左侧胸腔积液消失。2.腹膜后多发小淋巴结,小于0.5cm,较前缩小。3.前列腺钙化,同前。
 
2022-09-26(4周期后)复查,颈部、胸部、腹部盆腔平扫及增强CT示:1.左侧中央型肺癌治疗后,左肺门肿块影基本消失,左肺上叶慢性炎症,左锁骨上、纵隔多发小淋巴结基本消失。2.肝右叶包膜下钙化灶。3.右肾小囊肿。4.前列腺钙化,同前。
 
2022-12-02(维持治疗3周期后)复查,颈部、胸部、腹部盆腔平扫及增强CT示:右上气管旁新发淋巴结转移灶,短径约2.8cm。其他结果同前。脑MRI未见异常。
 
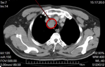
图2.基线及治疗期间复查CT
 
图3.维持治疗3周期后右上气管旁新发淋巴结转移
 
总体疗效评估:
 
2周期后PR,4周期后接近CR,维持治疗3周期后PD。
 
不良反应:
 
一线行4周期治疗期间出现Ⅰ级胃肠道反应。
 
维持治疗期间患者出现Ⅱ级皮肤瘙痒,外用药膏缓解。
 
后续治疗:
 
继续斯鲁利单抗维持治疗,联合新发转移淋巴结局部放疗,放疗采用IMRT,56Gy/23fx。
 
▌病例小结
 
图4.治疗时间线
 
该例患者确诊为广泛期小细胞肺癌,伴少量胸腔积液,ECOG PS 1分,有咳嗽、胸痛、咯血等症状,生活质量欠佳,预后差。根据2022 NCCN小细胞肺癌指南[5]及2022 CSCO小细胞肺癌诊疗指南[6],广泛期小细胞肺癌患者一线用药方案推荐免疫联合化疗。但IMpower133[3]、CASPIAN[4]研究显示,ES-SCLC患者一线应用PD-L1抑制剂联合EP/EC方案化疗,中位OS仅延长2个月左右。2022年6月5日ASCO大会口头报道的ASTRUM-005研究显示斯鲁利单抗有不错的疗效和安全性数据,中位OS达到15.4个月,较对照组显著提升4.5个月,降低37%死亡风险[7]
 
依据2022 CSCO指南推荐[6],该患者在经抗感染治疗后,一线使用斯鲁利单抗联合EC化疗方案进行治疗,在治疗1周期后,所有症状缓解,肿瘤标志物NSE(从83.58 ng/mL至15.20 ng/mL)和proGRP(从4493 pg/mL至170.5 pg/mL)明显下降。治疗2周期后,病灶出现显著缩小,疗效评价达PR。治疗4周期后肿瘤持续缩小,阻塞性炎症恢复、肺不张复张,左锁骨上、纵隔多发小淋巴结基本消失,左侧胸腔积液消失,疗效接近CR,疗效显著。后续治疗过程中,斯鲁利单抗持续显效。患者在斯鲁利单抗单药维持治疗3周期后,出现右上气管旁单个新发淋巴结转移,病情局部进展。考虑患者从免疫治疗中获益明显,决定继续接受斯鲁利单抗维持治疗,同时对新发淋巴结进行放疗。目前患者仍在随访中,有待后续定期复查和疗效评估。患者在免疫治疗期间,未出现间质性肺炎或其他严重免疫相关不良反应,免疫药物安全性良好。
 
点评专家
李东升
汕头大学医学院肿瘤医院放疗科
主任医师
广东省抗癌协会食管癌专业委员会副主任委员
广东省医学会放射肿瘤学会委员
广东省胸部肿瘤防治研究会粤东分会副主任委员
广东省抗癌康复与姑息治疗专业委员会粤东分会副主任委员

病例点评
 
在临床实践中,SCLC是一类异质性高且难治的癌种,是名副其实的“小恶魔”。初次就诊时即有约2/3患者被诊断为广泛期,SCLC约占所有肺癌患者的15-20%。ES-SCLC对放化疗敏感,但总体获益有限。今年ASCO大会报道的ASTRUM-005研究取得重大突破,斯鲁利单抗联合EC方案一线治疗ES-SCLC患者的中位OS超过15个月,是目前SCLC一线免疫治疗最长生存方案,斯鲁利单抗也成为全球首个在ES-SCLC一线治疗取得阳性结果的PD-1抑制剂[7]。基于这一结果,2022年4月FDA授予斯鲁利单抗治疗SCLC孤儿药资格,NMPA也在2022年4月受理斯鲁利单抗单抗的上市申请,2022 CSCO小细胞肺癌诊疗指南也将斯鲁利单抗联合化疗作为IA类证据、III级推荐[6]。ASTRUM-005研究也受到国际同行的认可,研究数据于2022年9月27日在JAMA期刊全文发表[8]。2022年12月2日ESMO ASIA大会公布了最新数据,中位OS高达15.8个月,死亡风险降低53%。其中亚裔人群更为显著,中位OS达到15.9个月,中位PFS突破6个月,再次刷新ES-SCLC一线治疗生存数据新高度[9]。斯鲁利单抗联合化疗与阿替利珠单抗联合化疗用于ES-SCLC的III期桥接试验已在开展中,并于2022年11月29日完成首例患者入组,我们非常期待未来有更多的数据公布,为广大临床医生提供更多的参考依据。
 
该病例为老年吸烟男性,确诊为ES-SCLC时伴少量胸腔积液,ECOG PS 1分,有咳嗽、胸痛、咯血等症状,生活质量欠佳,预后差。结合2022 CSCO小细胞肺癌诊疗指南推荐[6],患者在经抗感染治疗后,一线给予斯鲁利单抗联合EC方案治疗,症状明显得到改善,肿瘤明显缩小,疗效显著,且在后续治疗过程中观察到斯鲁利单抗持续显效。
 
该患者免疫单药维持治疗期间出现寡进展。据统计报道,寡进展(病灶≤3个)是免疫治疗较为常见的进展模式,约占总免疫耐药人群的55.3%[10]。国外几项研究显示,系统治疗后寡进展NSCLC局部介入放疗能改善疗效[11-13]。另一项研究显示,对免疫治疗有应答后发生寡进展的晚期NSCLC患者中,继续免疫治疗联合局部放疗可提高生存获益[10]。目前小细胞肺癌领域尚未有寡进展治疗探索性研究开展。结合该患者病情,考虑患者对斯鲁利单抗敏感,联合局部放疗获得长生存可能性大。此外,在整个治疗过程中,除了出现轻度皮肤毒性外,患者未出现其他不可控的免疫相关不良反应,安全性良好,患者治疗依从性高。
 
这是一例一线使用斯鲁利单抗联合EC方案治疗的ES-SCLC真实世界病例,其良好的疗效和安全性为斯鲁利单抗在ES-SCLC免疫治疗领域的应用积累了真实世界数据。同时,该真实世界病例也为免疫治疗后出现寡进展的ES-SCLC治疗提供证据,我们将密切关注患者的病情变化,为这类患者的治疗提供临床参考价值。
 
▌参考文献
 
[1]Sung H,Ferlay J,Siegel R L,et al.Global cancer statistics 2020:GLOBOCAN estimates of incidence and mortality worldwide for 36 cancers in 185 countries[J].CA:a cancer journal for clinicians,2021,71(3):209-249.
 
[2]Lally B E,Urbanic J J,Blackstock A W,et al.Small cell lung cancer:have we made any progress over the last 25 years?[J].The oncologist,2007,12(9):1096-1104.
 
[3]Liu SV,et al.Updated Overall Survival and PD-L1 Subgroup Analysis of Patients With Extensive-Stage Small-Cell Lung Cancer Treated With Atezolizumab,Carboplatin,and Etoposide(IMpower133).J Clin Oncol.2021 Feb 20;39(6):619-630.
 
[4]Paz-Ares L,et al.Durvalumab,with or without tremelimumab,plus platinum-etoposide in first-line treatment of extensive-stage small-cell lung cancer:3-year overall survival update from CASPIAN.ESMO Open.2022 Apr;7(2):100408.
 
[5]Ganti A K P,Loo B W,Bassetti M,et al.Small cell lung cancer,version 2.2022,NCCN clinical practice guidelines in oncology[J].Journal of the National Comprehensive Cancer Network,2021,19(12):1441-1464.
 
[6]中国临床肿瘤学会指南工作委员会.中国临床肿瘤学会(CSCO)小细胞肺癌诊疗指南2022[M].北京:人民卫生出版社,2022.
 
[7]Ying Cheng,et al.Serplulimab,A Novel Anti-PD-1 Antibody,Plus Chemotherapy versus Chemotherapy as First-Line Treatment for Extensive-Stage Small-Cell Lung Cancer:An International Randomized Phase 3 Study.2022 ASCO Abs8505.
 
[8]Ying Cheng,et al.Effect of First-Line Serplulimab vs Placebo Added to Chemotherapy on Survival in Patients With Extensive-Stage Small Cell Lung Cancer:The ASTRUM-005 Randomized Clinical Trial.JAMA.2022 Sep 27;328(12):1223-1232.
 
[9]Ying Cheng,et al.2022 ESMO Asia.Abstract LBA9.
 
[10]Xu Y,Li H,Fan Y.Progression patterns,treatment,and prognosis beyond resistance of responders to immunotherapy in advanced non-small cell lung cancer[J].Frontiers in oncology,2021,11:642883.
 
[11]De Ruysscher D.Radical treatment of synchronous oligometastases from NSCLC[J].The Lancet.Oncology,2016,17(12):1625-1626.
 
[12]Gomez D R,Tang C,Zhang J,et al.Local consolidative therapy vs.maintenance therapy or observation for patients with oligometastatic non–small-cell lung cancer:long-term results of a multi-institutional,phase II,randomized study[J].Journal of Clinical Oncology,2019,37(18):1558.
 
[13]Iyengar P,Wardak Z,Gerber D E,et al.Consolidative radiotherapy for limited metastatic non–small-cell lung cancer:a phase 2 randomized clinical trial[J].JAMA oncology,2018,4(1):e173501-e173501.

本内容仅供医学专业人士参考


肺癌

分享到: 更多