当前位置:肿瘤瞭望>资讯>正文

优例共赏丨一例广泛期小细胞肺癌后线斯鲁利单抗免疫再挑战病例分享

作者:肿瘤瞭望   日期:2022/12/12 14:26:46  浏览量:9941

肿瘤瞭望版权所有,谢绝任何形式转载,侵犯版权者必予法律追究。

肺癌是肿瘤相关死亡率最高的恶性肿瘤。小细胞肺癌是肺癌之中侵袭性最强的一种亚型,约占所有肺癌患者的15%~20%,与吸烟关系密切。

▌病例作者:山东第一医科大学第二附属医院刘圆圆、栾春雨
▌点评专家:山东第一医科大学第二附属医院孟玲
 
摘要:肺癌是肿瘤相关死亡率最高的恶性肿瘤[1]。小细胞肺癌是肺癌之中侵袭性最强的一种亚型,约占所有肺癌患者的15%~20%,与吸烟关系密切。此类肿瘤恶性程度高、倍增时间短,易发生远处转移,初次就诊时即有约2/3患者被诊为广泛期。既往几十年间,广泛期小细胞肺癌(extensive-stage SCLC,ES-SCLC)的有效治疗方案有限,一线标准治疗方案为依托泊苷或伊立替康联合铂类药物化疗,近期有效率高达60%~80%,但患者往往短期内出现复发、转移,中位生存期仅有10个月左右[2-3],5年总生存率仅为1%左右。近几年来,随着PD-1和PD-L1等多种免疫检查点抑制剂(Immune checkpoint inhibitors,ICIs)相继应用于临床,一线免疫联合化疗在ES-SCLC患者中显示出良好OS和PFS获益,但复发SCLC患者预后差,选择方案少,仍需更多治疗模式的探索。斯鲁利单抗作为上海复宏汉霖首款自主研发的创新生物药PD-1抑制剂,其疗效在多个瘤种中得到验证。本文通过一例ES-SCLC后线使用斯鲁利单抗联合依托泊苷、洛铂进行免疫再挑战的患者用药经验,探讨免疫治疗在ES-SCLC中的应用与药物选择。
 
病例作者
刘圆圆
副主任医师,医学博士,山东第一医科大学第二附属医院,呼吸与危重症医学科
山东省生物医学工程学会声振医学专业常务委员
山东省亚健康防治协会呼吸系疾病防治分会委员
山东省抗癌协会肿瘤免疫治疗分会成员
现发表SCI论文3篇,核心期刊论文3篇,主持省级课题1项,市级课题1项。
 
栾春雨
山东第一医科大学第二附属医院呼吸科主治医师
硕士研究生,毕业于上海交通大学医学院,山东省医师协会呼吸病学分会青年委员,擅长呼吸慢病、肺部肿瘤、重症肺炎等常见多发病的诊治。同时具有丰富的间质性肺病、肺泡蛋白沉积症等罕见病的诊治经验。核心期刊发表论文2篇。
 
病例介绍
 
基本情况:王某某,男,64岁。
 
主诉:咳嗽伴憋喘1月余。
 
首诊日期:2020-11-02
 
既往史:“高血压”病史30年,“胃溃疡致胃大部切除术”病史15年,“心脏瓣膜置换术”病史10余年。
 
个人史:吸烟史40余年,每天1包,已戒烟20余年,已饮酒15年。
 
婚育史:适龄结婚,育有1子,配偶及子女体健。
 
家族史:家族中无肿瘤病史,否认遗传病史。
 
查体:ECOG评分1分,双肺呼吸音清,未闻及明显干湿性啰音,心律齐,主动脉瓣听诊区可闻及杂音。
 
▌肿瘤标志物
 
2020-11-02神经元特异性烯醇化酶23.360ng/ml↑,细胞角蛋白19片段测定7.121ng/ml↑。
 
▌影像学检查
 
2020-11-03胸部CT:右肺下叶多发肿块及右肺门、纵隔淋巴结肿大,侵犯上腔静脉及肺血管。
 
2020-11-04腹部CT、颅脑MR及骨扫描未见明显转移。
 
图1.首诊胸部CT
 
2020-11-12支气管镜检查:中叶管口充血肿胀,有肿块突出管腔致管口阻塞90%,表面不光滑,给予灌洗、针吸活检、常规活检及刷检。右下基底段气管结构扭曲变形,粘膜粗隆,未见新生物。
 
图2.支气管镜检查
 
▌病理结果
 
2020-11-14病理结果:(支气管粘膜)结合免疫组化,符合小细胞癌。
 
免疫组化:CD56(+)、P40(-)、TTF-1(-)、Syn(部分+)、Ki-67(80%+)。
 
▌初步诊断
 
1.右肺中下叶小细胞癌(广泛期)、右肺门及纵隔淋巴结转移、右侧胸腔积液
 
2.亚临床甲状腺功能减退
 
3.高血压2级
 
4.心房颤动
 
5.心功能不全
 
6.主动脉瓣置换术后
 
7.胃大部切除术后
 
▌治疗经过
 
一线治疗
 
2020-11-16行第1周期化疗,具体方案为:依托泊苷100mg d1-5+顺铂40mg d1-3 Q3W,治疗后出现消化道症状及III度骨髓抑制;
 
2020-12-08—2021-04-20行第2-6周期治疗,调整方案为:度伐利尤单抗500mg+依托泊苷100mg d1-4+洛铂50mg d1 Q3W;
 
2021-05月行维持治疗1周期,具体方案为:度伐利尤单抗500mg。
 
一线治疗最佳疗效评估:PR。
 
图3.一线治疗后胸部CT结果
 
后续诊疗经过:
 
就诊日期:2021-05-31
 
主诉:头晕伴恶心不适1周,干咳2天。
 
查体:无特殊。
 
影像学检查:
 
2021-05-31胸部CT:右肺下叶占位较前增大,直径约10mm,并右腋窝、纵隔多发肿大淋巴结,与临近组织分界不清,部分较前增大。
 
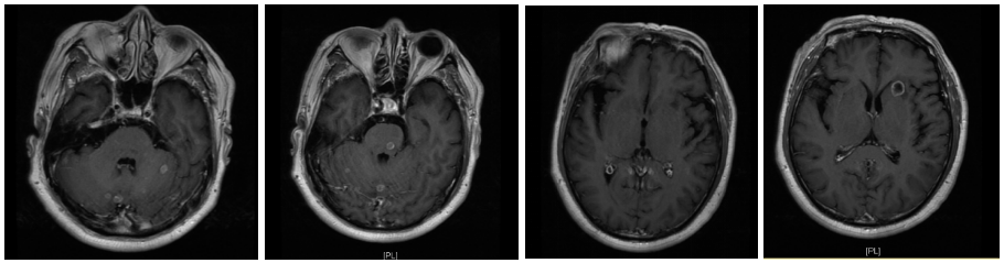
2021-05-31颅脑MRI:脑内多发转移瘤(最大者居于左半卵圆中心,约12×14mm),脑内多发缺血灶。
 
图4.二线治疗前颅脑MRI结果
 
二线治疗方案:
 
2021-06-01—2022-04-18度伐利尤单抗500mg d1+替莫唑胺150mg d2-6+安罗替尼12mg d8-21 Q3W
 
影像学评估:
 
2022-02-07右肺下叶见高密度条索影,较前相仿,未见右肺下叶占位,纵隔内见稍大淋巴结,大者短径约11mm,较前相仿。
 
二线治疗最佳疗效评价:PR
 
2022-05-09胸部CT:右肺下叶见毛刺样结节影,大小约14×16mm,纵隔内见多发肿大淋巴结影,大者短径约14mm,部分较前增大。
 
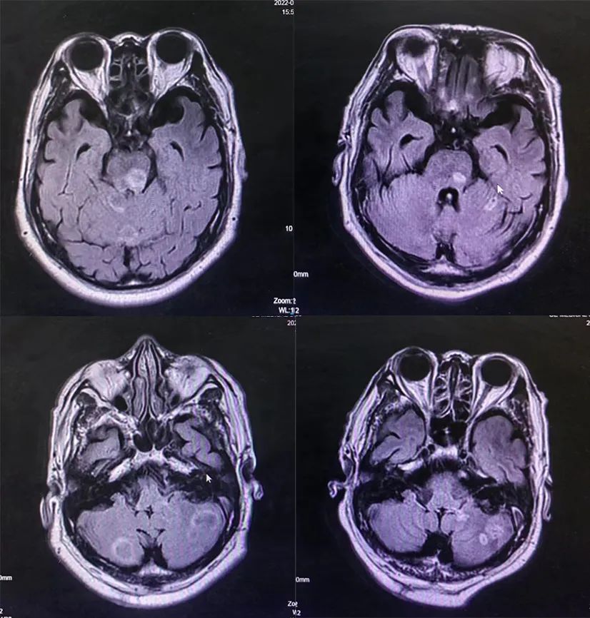
2022-03-21颅脑MRI:脑内多发转移瘤复查,较前数量增多,体积增大。
 
三线治疗:
 
2022-03-21—2022-04全脑放疗:全脑35Gy/14f、瘤床同步推量42Gy/14f。
 
2022-05-10—2022-07-05行3个周期免疫联合化疗,具体方案为:斯鲁利单抗300mg+依托泊苷100mg d1-4+洛铂70mg d1 Q3W。
 
2022-08-01—2022-11-22行4个周期维持治疗,具体方案为:斯鲁利单抗300mg。
 
三线治疗疗效评价:
 
肿瘤标志物:
 
 
影像学评估:
 
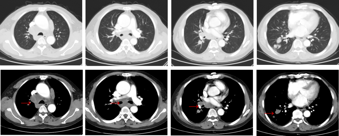
2022-07-04(免疫联合化疗3周期后)胸部CT:右肺下叶见毛刺样结节影,大小约11×13mm,右侧腋窝、左锁骨上窝、纵隔内见多发肿大淋巴结,部分较前减少。
 
2022-10-31(免疫单药维持治疗3周期后)胸部CT:右肺下叶毛刺样结节影,较前相仿,右侧腋窝、左锁骨上窝、纵隔内见多发肿大淋巴结,较前相仿。
 
图5.三线治疗后胸部CT
 
颅脑MRI评估:
 
对比2022-03-21 MRI脑内多发转移瘤较前减少、减小;双侧大脑白质区及小脑半球、脑干见多发大小不等稍长T1稍长T2信号灶。DWI大部分呈低信号,部分呈环形略高信号,增强后病变未见明显强化,较前减少、减小。
 
 
三线治疗疗效评估:颅脑PR、原发灶SD
 
▌病例小结
 
 
该患者为广泛期小细胞肺癌患者,伴有多种疾病,既往有“高血压”病史30年,“胃溃疡致胃大部切除术”病史15年,“心脏瓣膜置换术”病史10余年,体质较差。一线应用化疗一周期后出现无法耐受的消化道症状及III度骨髓抑制,后续方案调整为低剂量PD-L1抑制剂联合减量化疗,疗效达PR。但度伐利尤单抗单药维持治疗1周期后即出现脑转移,病情进展,疗效持续时间短。二线治疗方案在继续应用低剂量PD-L1抑制剂基础上,联合安罗替尼、替莫唑胺治疗,疗效达PR,且有效持续时间较久,PFS达9.6个月。根据患者前期用药情况,考虑患者对度伐利尤单抗产生耐药,依据2022ASCO会议上公布的ASTRUM-005[4]研究中期分析结果,该患者三线治疗改用斯鲁利单抗联合依托泊苷及洛泊治疗,庆幸的是,肿瘤再次出现退缩,虽尚未达到PR,但经斯鲁利单抗联合化疗3周期后,2022-08至今应用斯鲁利单抗单药维持治疗,目前有效持续时间已达7个月,病情未出现进展。且在整个治疗过程中,患者未出现明显免疫相关不良反应(irAE),安全性良好。此案例显示,斯鲁利单抗在ES-SCLC后线免疫治疗再挑战中,仍显示出持久抗肿瘤效果,为ES-SCLC后线治疗提供新的方案选择。
 
点评专家
孟玲
山东第一医科大学第二附属医院内科主任、内科教研室主任,呼吸与危重症医学科主任、内科住院医师规范化培训基地主任
硕士生导师,博士后指导老师,曾到英国曼彻斯特研修
学术任职:
山东省医学会呼吸病学分会委员
山东省医师协会呼吸医师分会常务委员
山东省医师协会防痨协会副主任委员
山东省医学会诊断学分会副主任委员
山东省研究型医院呼吸病学会副主任委员
山东省医师协会疑难罕见病委员会副主任委员
山东省医师协会呼吸介入学组常务委员
海峡两岸医药卫生交流协会委员
专业特长:
慢性咳嗽,支气管哮喘
慢性阻塞性肺疾病,间质性肺病,肺癌
 
病例点评
 
过去三十年间,广泛期小细胞肺癌(ES-SCLC)的治疗以化疗为主,患者生存获益有限,随着IMpower133、CASPIAN等研究的发表,ES-SCLC进入免疫治疗时代。今年ASCO会议上,复宏汉霖自主研发的斯鲁利单抗的III期临床研究ASTRUM-005结果的公布,打破了PD-1抑制剂在小细胞肺癌无效的魔咒,为ES-SCLC的免疫治疗选择再添新的武器。
 
ASTRUM-005研究是国际多中心、随机、双盲、安慰剂对照的大型III期临床研究,中期分析显示,ES-SCLC患者一线应用斯鲁利单抗联合EC方案化疗,中位OS已超过15个月。基于该研究结果,今年4月,斯鲁利单抗作为IA类证据纳入CSCO指南ES-SCLC一线治疗的III级推荐,该研究结果已于2022年9月27日刊登在JAMA主刊[4]。2022年12月2日在EMSO ASIA大会上更新了ASTRUM-005研究数据,中位OS达15.8个月,为目前ES-SCLC取得最长OS的药物。
 
ES-SCLC后线治疗模式有限。基于ALTER1202研究结果[5],CSCO指南目前推荐安罗替尼用于ES-SCLC三线及后线的治疗,但ORR低、PFS短[5],且该患者二线治疗方案已应用安罗替尼治疗,在二线治疗方案出现耐药后,三线治疗方案几近于无。
 
该病例为ES-SCLC后线应用斯鲁利单抗治疗的真实病例,基础疾病多,体质较差,后线治疗方案选择有限。基于ASTRUM005研究结果,后线治疗选择斯鲁利单抗进行的免疫再挑战,仍显示了持久的抗肿瘤获益及可控的安全性。这一案例充分验证了斯鲁利单抗能够为ES-SCLC患者带来生存获益,增强了我们在小细胞肺癌领域治疗的信心!
 
▌参考文献
 
[1]Siegel R L,Miller K D,Jemal A.Cancer statistics,2020[J].CA Cancer J Clin,2020,70(1):7-30.
 
[2]Goldman J W,Dvorkin M,Chen Y,et al.Durvalumab,with or without tremelimumab,plus platinum-etoposide versus platinum-etoposide alone in first-line treatment of extensive-stage small-cell lung cancer(CASPIAN):updated results from a randomised,controlled,open-label,phase 3 trial[J].Lancet Oncol,2021,22(1):51-65.
 
[3]Liu S V,Reck M,Mansfield A S,et al.Updated Overall Survival and PD-L1 Subgroup Analysis of Patients With Extensive-Stage Small-Cell Lung Cancer Treated With Atezolizumab,Carboplatin,and Etoposide(IMpower133)[J].J Clin Oncol,2021,39(6):619-630.
 
[4]Cheng Y,Han L,Wu L,et al.Effect of First-Line Serplulimab vs Placebo Added to Chemotherapy on Survival in Patients With Extensive-Stage Small Cell Lung Cancer:The ASTRUM-005 Randomized Clinical Trial[J].JAMA,2022,328(12):1223-1232.
 
[5]Cheng Y,Wang QM,Li K,et al.Anlotinib versus placebo as third-or further-line treatment for patients with small-cell lung cancer:a randomized,double-blind,placebo-controlled phase 2 study[J].Br J Cancer.

本内容仅供医学专业人士参考


肺癌

分享到: 更多