当前位置:肿瘤瞭望>资讯>正文

例精图治丨刚好遇见“HER”,这例转移性胃癌患者又延续了2年生存

作者:肿瘤瞭望   日期:2020/12/17 11:22:04  浏览量:13875

肿瘤瞭望版权所有,谢绝任何形式转载,侵犯版权者必予法律追究。

编者按:本期“例精图治”中,浙江大学医学院附属第一医院的徐馨医生介绍了一例胃癌伴腹膜后淋巴结(T3N3bM1,IV期)的患者,经术前化疗缩瘤后行根治手术,病理示HER2阳性。患者术后1个月发现腹膜后、胰周淋巴结复发转移,经多轮化疗联合赫赛汀,实现PFS 18个月,OS达23个月。温州医科大学附属第二医院的黄颖鹏教授在点评中指出,这是一个应用曲妥珠单抗成功治疗胃癌患者的典型病例,并指出尽早明确HER2状态以及曲妥珠单抗在转移性胃癌一线治疗中的重要性。

病例报告:徐 馨 浙江大学医学院附属第一医院

病例点评:黄颖鹏 温州医科大学附属第二医院

病例介绍


患者初诊信息:


患者,男,68岁,因“吞咽哽噎1月余”入院。ECOG得分 0分。


现病史:1月余前出现吞咽哽噎,无饮水呛咳,偶感腹胀腹痛,无恶心呕吐等不适,至外院就诊,上腹部增强CT(2018-12-14)提示:胃小弯及贲门壁异常,提示胃癌。胃周多发肿大淋巴结转移考虑。


胃镜检查提示(2018-12-13):1、慢性浅表-萎缩性胃炎;2、胃多发性溃疡;3.贲门溃疡(癌?)。


病理检查(2018-12-17):(胃窦)粘膜慢性萎缩性伴轻度肠化,(窦体交界)考虑低分化腺癌。


既往史:患者有高血压史,高血压7余年,发现乙肝2余年,未行抗病毒治疗;10年前行声带息肉手术。


个人史、家族史无殊。

体格检查无阳性腹部体征。浅表淋巴结(-)。


既往史(续):全腹部CT平扫+增强提示胃贲门部及体部胃壁增厚,结合临床考虑胃癌伴胃周及腹膜后多发淋巴结转移;肝脏多发血管瘤。



2018-12-20至2019-2-21,SOX Q3W 4周期,具体为奥沙利铂230mg D1,替吉奥3# BID D1-14 ,疗效评估为缩小的SD。


2019年3月行胃癌根治术(全胃切除+D2淋巴结清扫+Roux-en-Y结肠后吻合)+空肠造瘘+肠粘连松解术/R0。术中见患者腹腔部粘连,无明显腹水,分离粘连,探查肝脏、盆腔、大网膜等无明显肿块。肿瘤位于胃体小弯侧,向上累及贲门,向下累及胃窦,后壁局部侵出、侵及胰腺部分包膜。胃周可及数枚肿大淋巴结,后膜腹可及多枚肿大淋巴结,左肾静脉旁部分淋巴结呈融合状。


全胃切除标本病理


肿瘤部位:胃体小弯侧

肿瘤大小:8×6cm

大体类型:浸润型

组织学类型:低分化腺癌(Lauren分型:弥漫型胃癌)

浸润深度:侵及浆膜

脉管瘤栓:阳性;神经侵犯:阳性

切缘:送检食道切缘阴性,自检下切缘阴性

肿瘤退缩分级:TRG1

转移情况:自检(小弯侧)淋巴结19/23枚,(大弯侧)结节7/7枚,送检(后腹膜)淋巴结9/9枚见癌转移,部分淋巴结部分化疗后反应。送检大网膜未见癌累犯。


病理诊断:(全胃切除标本)胃体小弯侧溃疡型低分化腺癌伴淋巴结转移性癌


入我院时病情评估:


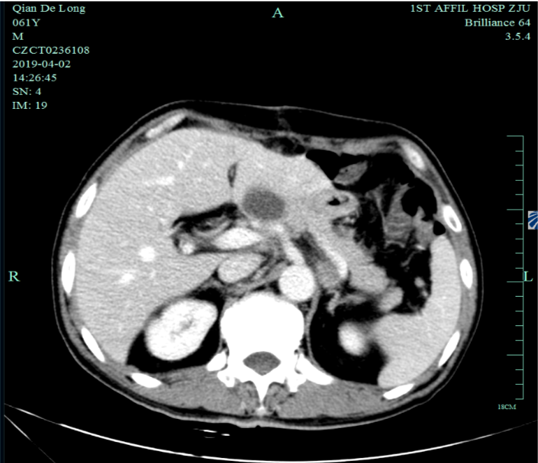
入我院后全面进行评估(2019.4):全腹部CT平扫+增强评估提示腹膜后,胰腺周围多发淋巴结增大,淋巴结转移考虑。



诊断:胃低分化腺癌伴淋巴结转移性癌


根据AJCC/UICC TNM分期(第8版,2017年):T3N3bM1,IV期

MSH2(+),MSH6(+),MLH1(+),PMS2(+),CK(pan)(+),HER2(EP3)(3+)



治疗过程


一线治疗+靶向治疗:


2019-4-2至2019-6-5行SOX+赫赛汀 q3w 4周期联合化疗:具体为奥沙利铂220mgD1、替吉奥3# BID D1-14、赫赛汀400mg(首次)+300mg。


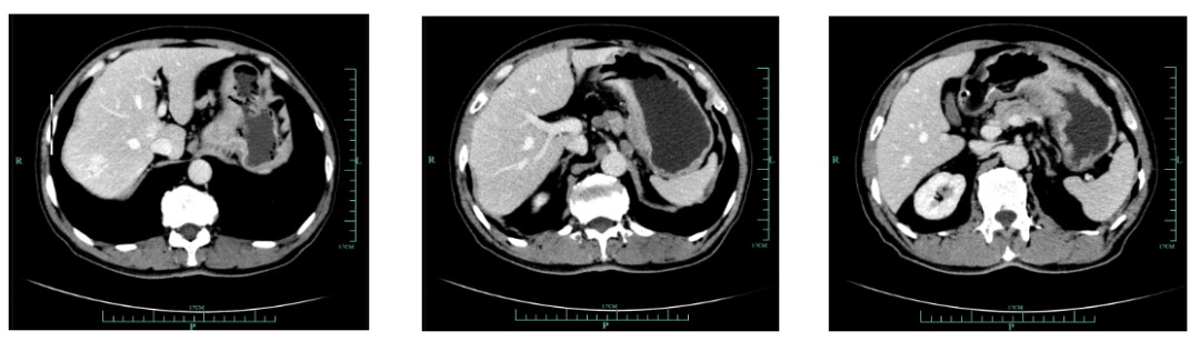
一线化疗疗效评估(2019.6 vs 2019.4):胃癌术后改变。影像评估CR。



一线治疗+靶向治疗:


由于奥沙利铂8个周期化疗结束,2019-6-26至2019-11-29行S-1+赫赛汀 q3w 8周期联合维持治疗:替吉奥3# BID D1-14、赫赛汀 300mg D1。


MDT讨论:


定期复查肺部和全腹部CT未见明显复发病灶,肿瘤标志物CEA和CA199升高,下一步治疗?


  • 继续原方案化疗?

  • 放疗?

  • 改变化疗方案?


经MDT讨论,改变现有化疗方案,行SPA+赫赛汀 Q3W联合化疗。

2019-12-20至2020-7-6行SPA+赫赛汀 q3w  8周期联合化疗:白蛋白紫杉醇250mg、替吉奥3# BID D1-14、赫赛汀 300mg D1 。


疗效评估:


2019-12-20至2020-7-6

影像学评估:胃癌术后改变。持续CR。

肿瘤标记物评估:肿瘤标记物明显下降。



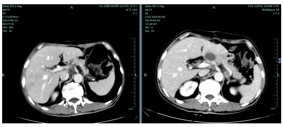
末次化疗时间为2020-7-6,定期复查于2020-11发现标记物明显升高,影像学提示疾病进展。


2020-11-3全腹部CT平扫+增强提示胃癌术后改变,术周及腹膜后多发肿大淋巴结显示,对照2020-7-7CT淋巴结肿大进展,结合临床疗效评估PD。



治疗经过总结:



专家点评


本例患者于2018年12月17日病理检查结果提示低分化腺癌,遂于2018年12月20日~2019年2月21日给与奥沙利铂+替吉奥(SOX Q3W)疗效评估缩小,于2019年3月行胃癌根治术,术后一个月淋巴结转移,且病理提示HER2(3+),进而行SOX方案联合曲妥珠单抗治疗后影像提示胃癌术后改变,遂换S-1+曲妥珠单抗Q3W,未见明显复发病灶,但肿瘤标志物升高,经MDT讨论决定改变现有方案,行SPA+曲妥珠单抗联合化疗后肿瘤标记物稳定。最终患者生存期(PFS)维持18个月,是一个应用靶向药物曲妥珠单抗成功治疗胃癌患者的典型病例。


对于进展期胃癌患者通过新辅助治疗可通过缩小肿瘤病灶使肿瘤降期,提高R0切除率,控制微小转移灶等以提高外科手术切除获益率,该病例应在术前新辅助前明确HER2状态,进行抗HER2治疗也许获益会更大,ST03研究以及FLOT研究证实了新辅助化疗在进展期胃癌的疗效,2020年CSCO胃癌诊疗指南中,推荐Ⅲ期胃癌患者行新辅助治疗+D2根治术+辅助化疗为首选治疗方案,并且EVIDENCE研究中XELOX联合曲妥治疗组中位OS为34.6个月,中位PFS为8.2个月,基于该结果,2020 CSCO胃癌诊疗指南中,HER2阳性胃癌治疗将曲妥珠单抗联合奥沙利铂/顺铂+5FU/卡培他滨(1A类证据)更新为1级推荐。



EVIDENCE研究:抗HER2药物联合化疗较单纯化疗显著改善中国HER2阳性转移性胃癌患者OS


晚期胃癌的自然生存期是6-8个月,而化疗药物的应用将晚期胃癌的生存时间提高到10-12个月,2010年TOGA研究显示,与标准化疗(顺铂+氟尿嘧啶)相比,曲妥珠单抗联合化疗可使总生存期显著延长(11.8个月vs 16个月,P=0.0046),将胃癌常规化疗引导向胃癌靶向治疗时代,也奠定了曲妥珠单抗在HER2阳性胃癌一线治疗中的地位。继而在术后辅助治疗应用HER2靶向治疗且预后较好,PFS达到18个月,OS达到23个月,但这仍属于探索性研究,期待有更高级别的前瞻性研究得出结论。



TOGA研究:晚期HER2+胃癌一线曲妥珠单抗+化疗中位OS结果


此外,通过这个案例我们也认识到多学科协作(MDT)诊疗模式在胃癌临床诊疗中重要作用,对于进展期或晚期胃癌,MDT讨论后可以为患者做出更精准的分期,进而可以更加个体化及精准的全程诊疗方案,真正让更多患者获益。


病例报告者简介

徐馨

浙江大学医学博士

浙江大学医学院附属第一医院肿瘤内科主治医师

擅长消化道肿瘤,肺部肿瘤及常见恶性肿瘤的化疗,靶向治疗和免疫治疗

承担浙江省自然基金1项,参与多项国家自然基金,发表SCI论文6篇

中国抗癌协会临床肿瘤学协作委员会(CSCO)会员

浙江省抗癌协会肿瘤营养与支持治疗专业委员会会员


病例点评专家简介

黄颖鹏

温州医科大学附属第二医院胃结肠外科副主任医师

温州医科大学附属第二医院胃肿瘤亚专科主任医师

浙江省肿瘤防治联盟胃癌专业委员会委员

浙江省抗癌协会肿瘤营养与支持治疗协会委员

浙江省青年医师专业委员会委员

温州市中西医结合学会外科专业委员会副主任委员

温州医学会外科分会青年委员

本内容仅供医学专业人士参考


胃癌

分享到: 更多